• Menü menu
  • menu Menü öffnen
Projekte -  
COREMED

Der Einfluss von Adipozyten auf die Entstehung und Therapie chronischer Wunden

LAUFZEIT:

08/2020

12/2023

Projektlaufzeit gesamt:

3 Jahre

AdipoWound skin

Das Projekt

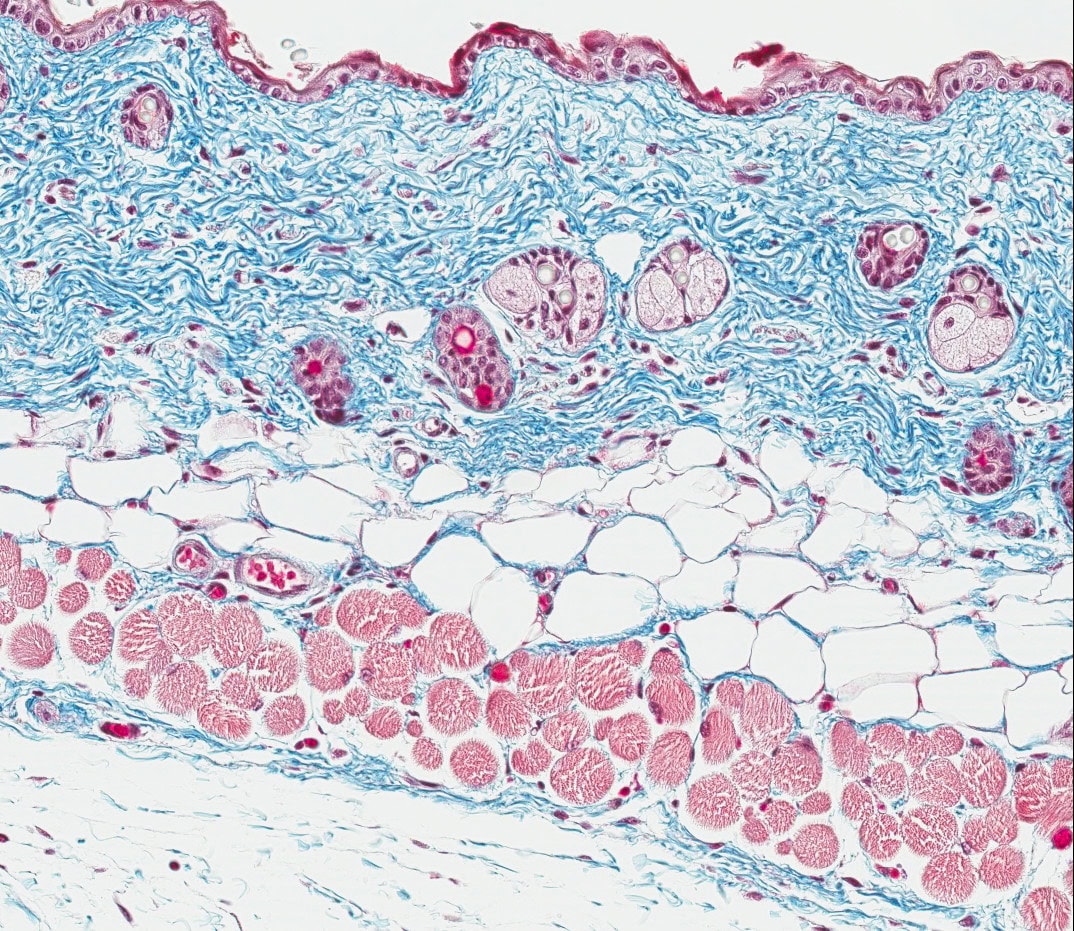
Inwieweit spielen Adipozyten bei der Entstehung chronischer Wunden eine Rolle und wie interagieren sie mit der Wundumgebung?

 

Assoz. Prof.in Priv.-Doz. Mag.a Dr.in Petra Kotzbeck
Keine Datei zugewiesen.

Gefördert aus Mitteln der Österreichische Forschungsförderungsgesellschaft (FFG)

AKRIBES Biomedical GmbH

Details zum Projekt

Chronische Wunden besser verstehen und therapieren zu können, ist das Ziel des kürzlich bewilligten BRIDGE Projekts unter der Leitung von Ass.Prof.in Mag.a Dr.in Petra Kotzbeck. Integraler Bestandteil dieses Projekts ist es, in Zusammenarbeit mit dem Wiener Start-up AKRIBES Biomedical GmbH, neue Faktoren zu finden, die maßgeblich an der Entstehung chronischer Wunden beteiligt sind. Das Projekt soll aufklären, welche Rolle Adipozyten bei der Entstehung chronischer Wunden spielen. Darüber hinaus soll bestimmt werden, wie der Crosstalk zwischen Adipozyten, Keratinozyten und Fibroblasten den Wundverschluss im Kontext einer chronischen Wunde beeinflusst, und ob Adipozyten ein neues, innovatives Therapietarget darstellen können.

Projektbeteiligte

Assoz. Prof.<sup>in</sup> Priv.-Doz. Mag.<sup>a</sup> Dr.<sup>in</sup> Petra Kotzbeck
Assoz. Prof.in Priv.-Doz.in Mag.a Dr.in

Petra
Kotzbeck

Direktorin COREMED
Mag.<sup>a</sup> Dr.<sup>in</sup> Elisabeth Hofmann
Mag.a Dr.in

Elisabeth
Hofmann

Forschungsgruppenleitung
Ines Fößl, PhD MSc BSc

Ines
Fößl

PhD MSc BSc
Stv. Forschungsgruppenleitung
Julia Fink, BSc MSc

Julia
Fink

BSc MSc
Zum Inhalt springen